深圳睇牙&維港口腔&深圳種牙

+852 53113495(香港)

+86 18819053346(深圳)

深圳睇牙&維港口腔&深圳種牙
深圳睇牙&維港口腔&深圳種牙
深圳睇牙&維港口腔&深圳種牙
深圳睇牙&維港口腔&深圳種牙

+852 53113495(香港)

+86 18819053346(深圳)
深圳種牙&深圳維港口腔
深圳種牙&深圳維港口腔
深圳種牙&深圳維港口腔

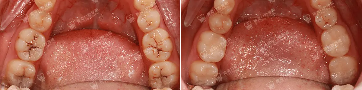
補牙 | 3M z350樹脂補牙

*此資料為維港口腔內部素材,效果因人而異。

深圳種牙&深圳維港口腔

補牙 | 前牙3M z350樹脂補牙

*此資料為維港口腔內部素材,效果因人而異。

深圳種牙&深圳維港口腔

補牙 | 3M p60樹脂補牙

*此資料為維港口腔內部素材,效果因人而異。

深圳種牙&深圳維港口腔

補牙 | 門牙美學樹脂修復

*此資料為維港口腔內部素材,效果因人而異。

深圳種牙&深圳維港口腔

補牙 | 個別牙牙縫大美學樹脂修復

*此資料為維港口腔內部素材,效果因人而異。

深圳種牙&深圳維港口腔

補牙 | 門牙美學樹脂修復

*此資料為維港口腔內部素材,效果因人而異。