深圳睇牙&維港口腔&深圳種牙

+852 53113495(香港)

+86 18819053346(深圳)

深圳睇牙&維港口腔&深圳種牙
深圳睇牙&維港口腔&深圳種牙
深圳睇牙&維港口腔&深圳種牙
深圳睇牙&維港口腔&深圳種牙

+852 53113495(香港)

+86 18819053346(深圳)
深圳種牙&深圳維港口腔
深圳種牙&深圳維港口腔
深圳種牙&深圳維港口腔

貼片 | 門牙3顆E-max瓷貼片

*此資料為維港口腔內部素材,效果因人而異。

深圳種牙&深圳維港口腔

貼片 | 上牙6顆E-max瓷貼片

*此資料為維港口腔內部素材,效果因人而異。

深圳種牙&深圳維港口腔

貼片 | 琥珀瓷貼片

*此資料為維港口腔內部素材,效果因人而異。

深圳種牙&深圳維港口腔

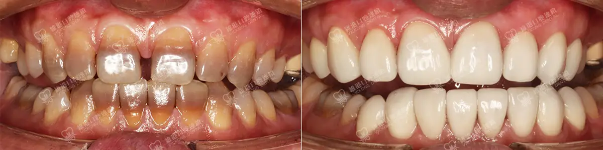
貼片 | 16顆格萊美數字牙貼片修復

*此資料為維港口腔內部素材,效果因人而異。

深圳種牙&深圳維港口腔

貼片 | DSD微笑設計_6顆琥珀瓷貼片修復

*此資料為維港口腔內部素材,效果因人而異。

深圳種牙&深圳維港口腔

貼片 | 上牙6顆美加超薄牙貼片

*此資料為維港口腔內部素材,效果因人而異。